Smile Gallery | Before & After
Welcome to our Smile Gallery. We invite you to explore real patient transformations by Dr. Aaron Bratton, general, cosmetic, and implant dentist at Atkins Dental Clinic. If you are considering a smile makeover, please contact our office for a complimentary one-on-one consultation. Dr. Bratton will review your goals and create a custom treatment plan to help you achieve the smile of your dreams.
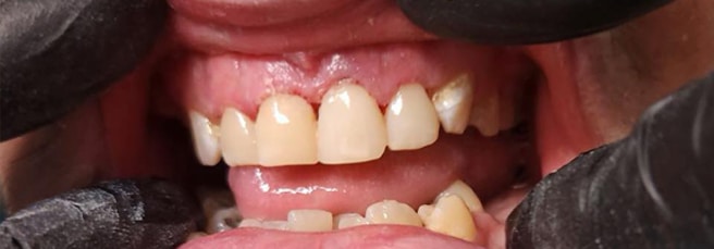
Before
Developmentally missing lower teeth.
During
Custom bridge with realistic gums, all tailored to blend in seamlessly.
After
Beautiful new smile!
